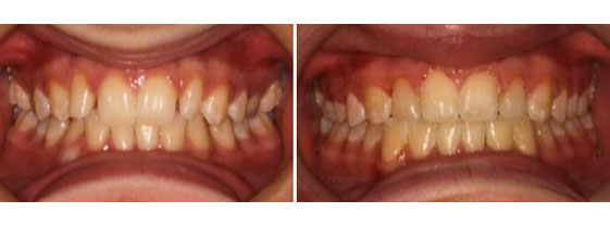
Before and After

Incredible results and inspiring journeys; see some of our patients’ before and after photos the next time you visit our practice.

Crowding Spacing Deep Bite Open Bite Impacted Teeth–Canines Missing or Small Teeth Protrusion Anterior Crossbite Orthognathic "Jaw" Surgery "Temporary Anchorage Devices"
"
Back to Top